|
|
 |
 |
Fotos de Casos Clínicos em In-Ceram
Fotos antes e depois do tratamento com próteses de In-Ceram Alumina.
|
C A S O 0 1
|
|
|
|
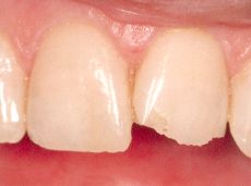
Antes: Incisivo fraturado
|
Depois: Coroa anterior em In-Ceram Alumina
|
|
C A S O 0 2
|
|
|
|
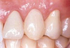
Antes: Pilares preparados
|
Depois: Prótese fixa In-Ceram Alumina cimentada
|
|
|
 |