|
|
 |
 |
Targis Vectris: Prótese fixa sem metal
 |
|
 |
|
|
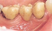
Antes: condições insatisfatórias
|
Depois: prótese fixa em TARGIS VECTRIS
|
|
|
|
|
|
 |
|
 |
A dupla Targis Vectris é uma excelente combinação para seus tratamentos de prótese. Abaixo, algumas de suas características.
Targis: um produto da nova geração de cerômeros (Ceramic Optimized Polymer), que unem as vantagens das cerâmicas com os compósitos modernos.
Revestimento estético para restaurações com e sem metal.
Combinado à estrutura translúcida Vectris, permite a confecção de próteses fixas sem metal de até 3 elementos.
Principais aplicações:
- Inlays / Onlays
- Próteses fixas com e sem metal
- Facetas laminadas
- Coroas telescópicas
Por ser um cerômero, além da translucidez e fluorescência similares às da cerâmica, possui excelente polimento e permite reparação em boca, quando necessário. Sua matriz orgânica de polímeros favorece a cimentação adesiva. Outra vantagem é a sua dureza, similar à do esmalte.
TARGIS POWER para polimerização por luz e calor
|
Unidade TARGIS QUICK para fixação intermediária
|
Vectris: com sua exclusiva tecnologia, reforçada com fibras, possibilita a confecção de estruturas translúcidas sem metal para pontes anteriores e posteriores, além de coroas.
Composto de fibras translúcido com altíssima resistência à flexão (aprox. 1000 MPa), tem a sua composição otimizada para obter os melhores resultados estéticos em conjunto com o material de revestimento estético Targis.
Sua confecção inclui um processo combinado de fotopolimerização, pressão e vácuo sobre o material FRC.
Estrutura de ponte Vectris
|
Ponte terminada de Targis Vectris
|
Confira os seguintes assuntos relacionados ao Targis:
Preparos para Targis Vectris
Cerômeros
FRC
Cimentação adesiva para Resinas
Fotos Targis Vectris
|
|
 |