|
|
 |
 |
Caso Clínico do Procera AllCeram
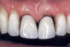
Homem, 52 anos, que recebeu, há 10 anos, coroas metalocerâmicas sobre núcleos de ouro. As coroas metalocerâmicas foram substituídas por coroas em Procera AllCeram.
Antes do tratamento
Coroas metalocerâmicas
|
Os incisivos centrais com preparos em chanfro
|
Coroas totais concluídas
|
Depois do tratamento
Próteses em Procera AllCeram cimentadas.
|
|
|
 |